MPR Quadrant Overview

Introduction

MPR Quadrant view is a Synapse feature that quickly reformats the original image data into orthogonal reconstructions: axial, sagittal, coronal, and oblique planes. Synapse places the reformatted views and original view into a 2x2 tile format in the Viewer as shown in the following examples:

Reformatted Axial

Reformatted Coronal

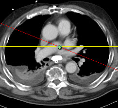
Reformatted Axial, Coronal, or Sagittal

Reformatted Sagittal

 

The yellow lines represent the horizontal and vertical axes. The red line displayed on an angle in the reformatted axial is the oblique axis.

As you scroll or move an axis in an image, Synapse automatically synchronizes and scrolls the images in the other views.

Related Topics

Accessing MPR View

Keyboard Shortcuts for MPR View

Active Overlays for MPR View

Text Overlays Overview

Adding a 3D Sphere

Exporting MPR Images

Using the Slider Bar

Annotations and Measurements Overview